{{ 'fb_in_app_browser_popup.desc' | translate }} {{ 'fb_in_app_browser_popup.copy_link' | translate }}

{{ 'in_app_browser_popup.desc' | translate }}

Your Shopping Cart is empty.
{{ (item.variation.media ? item.variation.media.alt_translations : item.product.cover_media.alt_translations) | translateModel }} {{ (item.variation.media
                    ? item.variation.media.alt_translations
                    : item.product.cover_media.alt_translations) | translateModel
                }}
{{ 'product.bundled_products.label' | translate }}
{{ 'product.bundle_group_products.label' | translate }}
{{ 'product.buyandget.label' | translate }}
{{ 'product.gift.label' | translate }}
{{ 'product.addon_products.label' | translate }}
{{item.product.title_translations|translateModel}}
{{ field.name_translations | translateModel }}
  • {{ childProduct.title_translations | translateModel }}

    {{ getChildVariationShorthand(childProduct.child_variation) }}

{{ 'product.set.open_variation' | translate }}
  • {{ getSelectedItemDetail(selectedChildProduct, item).childProductName }} x {{ selectedChildProduct.quantity || 1 }}

    {{ getSelectedItemDetail(selectedChildProduct, item).childVariationName }}

{{item.variation.name}}
{{item.quantity}}x NT$0 {{ item.unit_point }} Point
{{addonItem.product.cover_media.alt_translations | translateModel}}
{{ 'product.addon_products.label' | translate }}
{{addonItem.product.title_translations|translateModel}}
{{addonItem.quantity}}x {{ mainConfig.merchantData.base_currency.alternate_symbol + "0" }}

The Efficacy of Copper and Silver as Antiviral and Antimicrobial Agents

in the Healthcare System

The evolution of new viruses from animal respiratory tracts and re-emergence of historically virulent strains poses a major threat to human health. The transmission of zoonotic virus strains from person to person is inefficient, and may limit the spread of transmission at the beginning, but it may be infected by contact with contaminated surfaces. Enveloped viruses are usually susceptible to environmental pressures, but the human coronaviruses that cause severe acute respiratory syndrome (SARS) and Middle East respiratory syndrome (MERS) have recently raised concerns about contact transmission during outbreaks. Human Coronavirus 229E (HuCoV-229E) is rapidly inactivated on a series of copper alloys (fingertip contamination can be simulated within a few minutes), and Cu/Zn brass is very effective at lower copper concentrations. Exposure to copper can destroy the viral genome and irreversibly affects the morphology of the virus, including the disintegration of the envelope and the spread of surface spikes. Cu+ and Cu++ are part of the cause of inactivation. The production of active oxygen on the alloy surface will enhance this inactivation, resulting in inactivation even faster than non-enveloped viruses on copper. Therefore, copper alloy surfaces can be used in public areas and any mass gatherings to help reduce the spread of respiratory viruses from contaminated surfaces and protect public health.

The new human coronavirus has now been named as Severe Acute Respiratory Syndrome Coronavirus 2 (SARS-CoV-2), which formerly known as Cov-19. It emerged in Wuhan, China, at the end of 2019 and is currently causing a pandemic. The stability of SARS-CoV-1 and SARS-CoV-2 in various surface aerosols was evaluated, as well as their attenuation rates. SARS-CoV-2 is more stable on plastic and stainless steel than on copper and cardboard. On the surface of these materials, infectious live viruses can be detected within 2 hours after use. 

The influenza A virus causes a large number of hospitalized patients. In addition, general hospitalized patients with weak immune systems are also susceptible to influenza. Influenza A virus is a viral pathogen that can cause significant mortality and morbidity in the elderly and other high-risk groups. These researchers also reported that the copper sample inactivated 75% of influenza A H1N1 in an hour, and nearly 100% after 6 hours. Viruses are called obligate parasites, therefore, if they do not use a suitable host, they cannot complete the life cycle and are then not considered alive. They have a set of guidance, relying on the guidance, after introducing them into the host, it will produce pathobiological consequences. However, copper alloys can inactivate influenza A, so it may have the potential to significantly reduce its pathobiological consequences.

Copper will corrode the coronavirus, then slowly release ions that interact with oxygen, and generate free radicals or uncharged molecules that are usually highly reactive.

These free radicals create a concrete time bomb that will explode and destroy the RNA of the virus. When the copper-silver ionization device is deactivated, the residual protection can be maintained for several months, while cleaning does not provide the same possibility. Copper seems to be better and more reliable than silver, especially considering that copper is dry and needs to be wetted to be effective. The high humidity (>90%RH) and high temperature (35°C) used in the Japanese Industrial Standards (JIS Z 2801) produce measurable efficacy in materials containing silver ions, and in a lower temperature and humidity indoor environments (typical value) does not show any obvious response.

The effectiveness of alloys made from copper has been proven in various healthcare applications, and they have antimicrobial and antiviral properties. In a study, Schmidt demonstrated a 99% reduction in live bacteria in laboratory tests. Similarly, in clinical trials, compared with standard materials used on hospital surfaces, an 83% reduction in live bacteria was observed. 

The use of copper has been shown to reduce healthcare acquired infections (HAIs), especially in the intensive care unit (ICU). HAIs decreased from 0.081 to 0.034 (P= .013). And similar results of the reduction of HAIs were observed in children ICU on the surface of 3 kinds of objects. It was found that the use of copper can reduce the microbial load in the reclaimed objects in the control room by 73%.

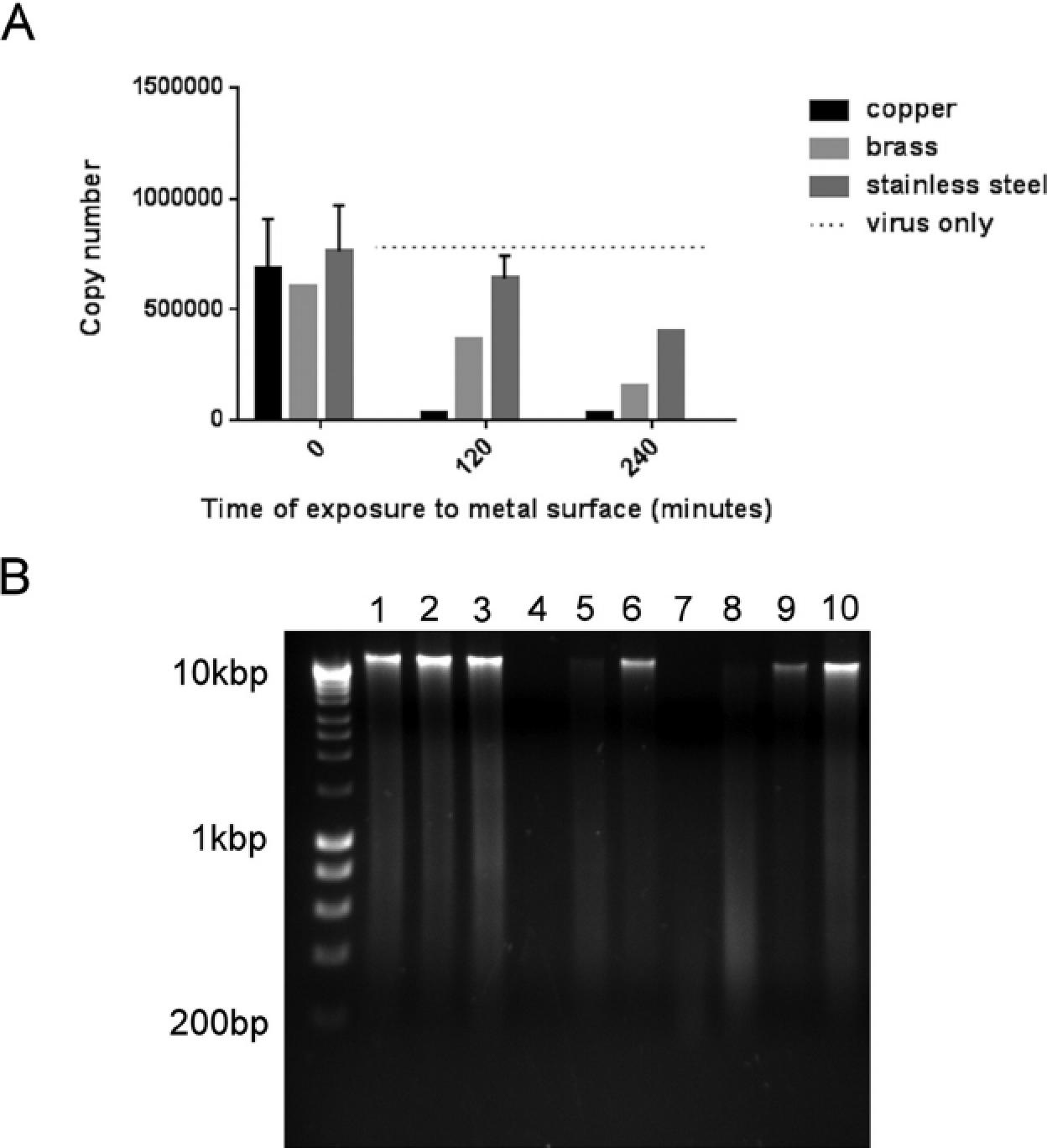
The destruction of the human coronavirus genome on the surface of copper and copper alloys.

  1. Analysis of a small fragment of the coronavirus genome (the 136 bp region of the nsp4 gene) showed that in reverse transcriptase real-time PCR, the number of copies of the virus exposed to copper and the brass surface of the cartridge was reduced. The stainless steel content has decreased, but the virus suspension has not decreased (the lightest gray bar), indicating that this is due to the drying of the sample.
  2. The analysis of the entire viral genome was separated by electrophoresis. The viral RNA (representing 3, 6 and 9) extracted from viruses exposed to copper (lane 1,4 and 7), cartridge brass (lane 2, 5 and 8) and stainless steel (lanes) are held for 0 minutes (lanes 1 to 3), 120 minutes (4 to 6), and 240 minutes (7 to 9). The genomic RNA of viruses exposed to copper and brass degrades with increasing contact time, this phenomenon did not occur on stainless steel. Genomic RNA still maintains large fragments that cannot pass through the gel. However, the total amount of intact RNA decreased after 4 hours, which may be due to dry damage, as shown in Panel A. Straight line 10 represents untreated virus, and unlabeled straight line is labeled with Bioline (Hyperladder I). the same procedure was used for the mock-infected cells, and the results showed that after it was applied to the copper surface, the RNA decomposition pattern was the same.

Analysis of the activity of SARS-CoV-1 and SARS-CoV-2 on aerosols and different surfaces.

The test results of the active effect on influenza A virus after being placed on the stainless steel surface for 6 hours and 24 hours.

The results of the test on the activity of influenza A virus after 60 minutes and 6 hours on the surface of C11000 copper metal.

Microbial content measured on six objects in non-copper space (dark gray bar) and copper space (light gray bar).

The use of copper materials on the surface of objects that are frequently contacted in PICU and PIMCU can produce an inhibitory effect on the consistency of bacterial concentration. The antibacterial consistency of copper surface objects can be evaluated by setting the frequency of use of bed rails, brackets of faucet handles made of antibacterial copper alloys registered by the US Environmental Protection Agency. The evaluation is carried out, divided into limiting the concentration of these surface-related bacteria to <500 CFU/100 cm2, the microbial load is below the detection limit (green bar), above the detection limit but below the risk threshold (<500 CFU/cm2 ; yellow bar) or exceed the risk threshold (>5 CFU/ cm2; red bar), three frequencies, and confirm by scoring the ACC (N¼460 copper arm; N446) score of a single sample from PICU and PIMCU at the same time. The detection limit of the bed rail is 30 CFU / cm2; the bracket, 30 CFU/cm2; and the faucet handle, 30 CFU/cm2.

(ACC, aerobic colony forming unit; CFU, colony forming unit; PICU, pediatric intensive care unit; PIMCU, intermediate intensive care unit.)

Other articles related to anti-bacteria information,

please visit ACTife Technology Special Column.

[click here for more]